
Anatomik olarak bazı kızlık zarı yapıları çok geniş olabilir, esnek olabilir, ilk ilişkide kanamayabilir. Bu durum halk arasında esnek kızlık zarı olarak bilinir. Bu tip kızlık zarı olanlar hamile kalma ile ilgili bir problem yaşamazlar. Esnek yapıda kızlık zarı olan kadınların normal doğum sırasında kızlık zarları açılır.
Kızlık zarı deyimi aslında doğru bir deyim değildir. Kızlık zarının tıbbi adı hymendir ve eski yunanda düğün tanrısı anlamına gelir. Düğünden önceki gece bu Yunan toplumlarında tanrıya adandığı için bu isimle anılmıştır. Himen bekareti temsil ettiği için ülkemizde kızlık zarı olarak adlandırılmıştır.
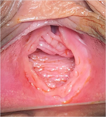
Vajina girişinden 0.5-1.5 cm içeridedir. Herhangi bir fizyolojik görevi yetişkin kadınlarda yoktur. Ergenlik dönemine kadar iç organları korumak için bir öneme sahiptir. Ergenliğe gelinceye kadar, vajinanın girişinde, kalın etli, kruvaze bir ceket gibi vajinanın girişini kapatır.
Ergenlik döneminde, genç kızlığa adım atması ile beraber hormonların etkisiyle incelir, küçülür, damarı olmayan bir yapı olarak vajinanın girişinde birer doku artı olarak kalır. İnsanlar dışında da birçok memelide ve hayvanda kızlık zarı vardır.

Kadın cinsel siklusa uygun sevişmişse, uzun bir ön sevişme yaşamışsa ve iyi bir uyarılmışsa vajina esner, genişler ve ıslanır. Vajina duvarının bir parçası olan himen de esner ve açılır.
Ortasındaki bir serçe parmak kalınlığındaki açıklıkta genişler. Bu tür durumlarda, cinsel ilişkiye girildiğinde kızlık zarı yırtılmadığı için kanamaz.
Bazı kadınlarda kızlık zarı esnek yapıda olduğu için, kanamaması son derece normaldir. Bu cinsel ilişkide, kanama ağrı ve acı olmaz. Esnek kızlık zarına sahip kadınların kızlık zarı ancak doğum esnasında yırtılabilir.
Doğumdan sonra kız çocuklarında himen dokusu kalındır ve esnek bir yapıda değildir. Ergenliğe girilmesiyle beraber, vücutta salgılanan hormonların etkisiyle, özellikle östrojen hormonunun etkisiyle kızlık zarı incelenir, vajina etrafına doğru ince bir doku parçası halini alır.
Esnek bir kızlık zarına sahip olup olmadığınızı ilk cinsel birleşme öncesi bir jinekoloğa muayene olarak öğrenebilmeniz mümkündür. İlk gecenizde bir problem yaşamamak için, kalıcı kızlık zarı onarımı ile kendinizi garantiye alabilirsiniz.
Bir kadının esnek olup olmadığını, elastik yapıda bir kızlık zarına sahip olup olmadığını ancak bir jinekoloji hekim muayenesi sonrası karar verilecek bir durumdur. Çok nadir de olsa kanama ihtimali vardır. Bu yapıdaki kadınlar çoğunlukla kanamazlar. Bu yapıda kızlık zarı olan kadınların doğum sırasında ancak kızlık zarları açılır.
- Kitabınız çok güzel ve öğretici.
- 42 yaşındayım ve şuan hiç olmadığı kadar özgüvenliyim.
- Hayatıma sihirli ellerinizle çok düzel dokundunuz.
YorumlarCanım hocam iyi ki bu kitabı yazmışsınız, videolarınızla cesaret alıp çözemediğim vajinismus problemini çözdüm. Ne kadar teşekkür etsem az kalır. Kitabınız çok güzel ve öğretici.{...}
07.10.2025Canım doktorum Azer hanım, herşeyden önce güler yüzünüz dünyalara bedel. Her kadın gibi jinekolojik muayeneye gelirken fazlasıyla gergindim ama beni öyle rahatlattınız ki hiç düşünmeden öne{...}
01.10.2025Sevgili Azer hocam, İyiki size tanımışım. Hayatıma sihirli ellerinizle çok düzel dokundunuz. 4 çocuk annesi olarak büyük oradan deformansyon geçirmiştim ama şuan güzelleşmek eni çok mutlu v{...}
10.09.2025